2 Boyutlu Fetal Beyin Ultrasonografisinde Lateral Ventrikül Anomalilerinin Yapay Zekâ Destekli Tespiti
Knowledge Club Bilişim Dan. San. Tic. Ltd. Şti.
2 Boyutlu Fetal Beyin Ultrasonografisinde Lateral Ventrikül Anomalilerinin Yapay Zekâ Destekli Tespiti
Proje İçeriği
Projemizin içeriği, 2 boyutlu fetal beyin ultrasonografi (USG) görüntülerinde lateral ventrikül anomalilerinin yapay zekâ destekli olarak tespit edilmesine odaklanan, klinik gerçekliğe dayalı bir karar destek sistemi geliştirilmesini kapsamaktadır.
Proje, AI-Assisted Detection of Lateral Ventricular Abnormalities in 2D Fetal Brain Ultrasound başlığı altında, fetal nörosonografide sık karşılaşılan operatör bağımlılığı, yorumlama farklılıkları ve sınıf dengesizliği gibi temel problemlere çözüm üretmeyi amaçlayan anatomi odaklı bir proof-of-concept çalışma olarak tasarlanmıştır.
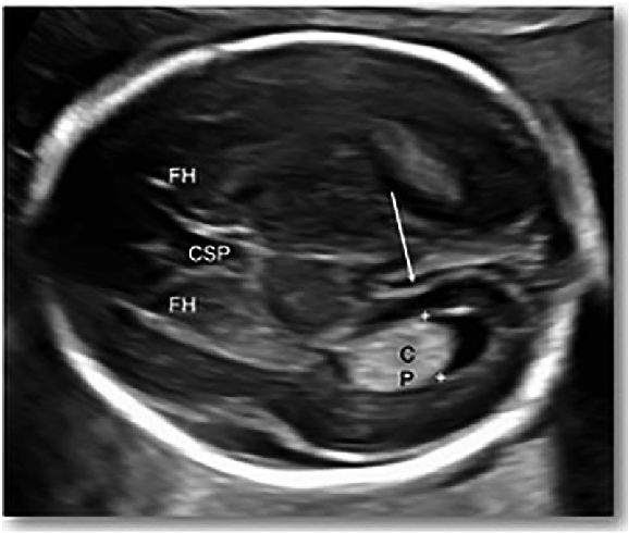
Çalışmada, 18–24 gebelik haftaları arasında rutin prenatal muayeneler sırasında elde edilmiş ve tamamen anonimleştirilmiş arşiv fetal beyin USG görüntüleri kullanılmıştır. Tüm görüntüler, ISUOG kılavuzlarına uygun transventriküler aksiyel planlardan elde edilmiş ve 15 yılı aşkın deneyime sahip bir fetal nörosonografi uzmanı tarafından “normal” ve “anormal” olarak etiketlenmiştir. Bu uzman etiketleri, model için altın standart (ground truth) olarak kabul edilmiştir.
Model geliştirme sürecinde tüm görüntüler, sabit boyuta yeniden ölçeklendirilmiş, yoğunluk normalizasyonu uygulanmış ve heterojen çekim koşullarının etkisini azaltacak şekilde standartlaştırılmıştır. Fetal anomali çalışmalarında yaygın olan normal–anormal sınıf dengesizliği problemi, bu projenin temel metodolojik zorluklarından biri olmuştur. Bu nedenle, yalnızca anormal sınıfa ait sentetik görüntüler üretilmiş ve bu görüntüler sadece eğitim aşamasında kullanılmıştır. Klinik güvenilirliği korumak amacıyla sentetik veriler, test ve gerçek-dünya değerlendirme aşamalarına dahil edilmemiştir.
Model mimarisi olarak, büyük ölçekli transformer ve generatif modeller test edilmiş; ancak ultrasonografide ince anatomik detayların korunması açısından yeterli performans sağlanamadığı için, grayscale medikal görüntülere özel optimize edilmiş hibrit bir CNN tabanlı mimari geliştirilmiştir. Eğitim sürecinde veri artırma, sınıf ağırlıklı kayıp fonksiyonları, adaptif öğrenme oranı ve erken durdurma gibi modern derin öğrenme teknikleri kullanılmıştır.
Değerlendirme aşamasında, model çıktıları sabit bir karar eşiği yerine dinamik olasılık eşik optimizasyonu ile analiz edilmiştir. Bu yaklaşım, sınıf dengesizliğine bağlı yanlılığı azaltmayı ve özellikle anormal vakaların atlanmasını önlemeyi hedeflemiştir. Model, yalnızca gerçek klinik görüntülerden oluşan bağımsız bir test setinde değerlendirilmiş ve %98,75 doğruluk, %100 duyarlılık ve 0 yanlış negatif sonucu elde edilmiştir.
Sonuç olarak bu proje, lateral ventrikül anomalilerinin yapay zekâ destekli olarak yüksek doğrulukla, tarafsız ve standart biçimde tespit edilebileceğini ortaya koyan; ilerleyen aşamalarda çoklu düzlem ve çoklu anomali analizlerine genişletilebilecek ölçeklenebilir bir klinik yapay zekâ hizmeti altyapısı sunmaktadır.
Projenin Amacı
Bu proje, kurum içindeki mevcut bir süreci iyileştirmekten ziyade yeni ve yenilikçi bir klinik karar destek hizmeti oluşturmak amacıyla geliştirilmiştir.
Çalışma, Bursa Acıbadem Hastanesi’nde görev alan ve aynı zamanda Küresel Sağlığı Geliştirme ve İnovasyon Derneği (HEAPİDER) bünyesinde yer alan Doç. Dr. Nefise Nazlı Yenigül’ün klinik ihtiyaçları doğrultusunda hayata geçirilmiştir.
Amaç; fetal beyin ultrasonografisinde lateral ventrikül anomalilerinin değerlendirilmesini destekleyen, yapay zekâ tabanlı, standartlaştırılmış ve yüksek doğruluk sağlayan yeni bir klinik hizmet altyapısı oluşturmaktır.
Bu hizmet, hekimlerin mevcut ultrason değerlendirmesinin yerine geçmekten ziyade, karar destek mekanizması olarak konumlandırılmıştır. Böylece operatör bağımlılığını azaltan, yorumlama farklılıklarını minimize eden ve özellikle tarama (screening) süreçlerinde anormal vakaların atlanma riskini düşüren katma değerli bir sağlık teknolojisi çözümü ortaya konmuştur.
Proje çıktısı, ilerleyen aşamalarda farklı hastanelerde ve farklı ultrason sistemlerinde kullanılabilecek şekilde ölçeklenebilir bir yapıda tasarlanmış olup, kurum dışı klinik kullanıma açık yeni bir hizmet modeli sunmaktadır.
Proje içindeki en büyük inovasyon nedir? (yeni bir teknoloji veya var olan teknolojinin farklı kullanımı gibi. IOT, M2M, AI vb.)
Proje kapsamındaki en büyük inovasyon, fetal beyin ultrasonografisinde sık karşılaşılan sınıf dengesizliği ve tanısal yanlılık problemlerine klinik gerçekliği koruyarak çözüm getiren bütüncül yapay zekâ yaklaşımıdır. Bu inovasyon üç ana başlık altında toplanmaktadır:
1) Sınıf dengesizliği problemine yönelik sentetik anomali üretimi
Fetal anomali tespit çalışmalarında, normal görüntülerin sayısının anormal görüntülere kıyasla belirgin şekilde fazla olması, model performansını olumsuz etkilemektedir. Bu projede:
- Yalnızca anormal sınıfa ait sentetik ultrason görüntüleri üretilmiştir.
- Sentetik veriler sadece model eğitimi aşamasında kullanılmıştır.
- Test ve gerçek-dünya değerlendirme aşamalarında sentetik veriler kesinlikle kullanılmamıştır.
Bu yaklaşım, hem modelin az görülen anormal örnekleri öğrenmesini sağlamış hem de klinik değerlendirmede yanlılık (bias) oluşmasını engellemiştir.
2) Dinamik olasılık eşik (dynamic probability-threshold) optimizasyonu
Klasik sınıflandırma modellerinde kullanılan sabit karar eşikleri, sınıf dengesizliğinin bulunduğu medikal verilerde yanlış negatif riskini artırabilmektedir. Bu projede:
- Sabit %50 karar eşiği yerine dinamik ve veri odaklı bir eşik optimizasyonu geliştirilmiştir.
- Bu yöntemle, anormal vakaların atlanması (false negative) tamamen önlenmiştir.
- Sonuç olarak gerçek klinik test setinde %100 duyarlılık ve 0 yanlış negatif elde edilmiştir.
Bu yaklaşım, projenin klinik tarama güvenliği açısından en kritik inovasyonlarından biridir.
3) Fetal ultrasonografiye özel optimize edilmiş özgün hybrid (CNN + Transformers) model geliştirilmesi
Proje sürecinde tıp alanı için özel geliştirilmiş birden çok büyük dil modelleri projeye özel olarak finetune edilmiş; ancak hem finetune öncesinde hem de sonrasında bu modeller, ultrasonografide ince anatomik detayları korumada ve tespit etmede yetersiz kalmıştır. Bunun yerine:
- Grayscale medikal görüntüler için optimize edilmiş,
- Projeye özel Hybrid bir yapay zeka çözümü olarak (CNN + Transformers tabanlı), modern düzenlileştirme ve öğrenme stratejileri içeren
özgün custom bir model mimarisi geliştirilmiştir.
Bu mimari, sınırlı veri ve dengesiz sınıf koşullarında yüksek genellenebilirlik sağlamıştır.
Özetle
Bu projenin en büyük inovasyonu; sentetik veri üretimi, dinamik karar eşikleme ve özgün model mimarisini, klinik güvenilirliği bozmadan ve gerçek-dünya değerlendirmelerini etkilemeden bir arada ve dengeli biçimde uygulamış olmasıdır.
Proje kurum içindeki hangi bölüme fayda sağlamıştır?(satış, pazarlama, finans, İK, IT, Üretim, Planlama, Satın alma, Lojistik Müşteri İlişkileri gibi)
Bu proje, doğrudan Kadın Hastalıkları ve Doğum (Perinatoloji / Prenatal Tanı) birimine fayda sağlamıştır. Özellikle fetal nörosonografi yapılan kliniklerde, lateral ventrikül değerlendirmesinin önemli olduğu prenatal tarama ve ileri değerlendirme süreçlerini destekleyici bir rol üstlenmiştir. Geliştirilen yapay zekâ destekli karar destek sistemi: • Fetal beyin ultrasonografisi yapan hekimlerin lateral ventrikül anomalilerini daha standart ve nesnel şekilde değerlendirmesine katkı sağlamış, • Operatöre bağlı yorum farklılıklarını azaltarak klinik karar sürecinin güvenilirliğini artırmış, • Özellikle tarama (screening) amaçlı muayenelerde anormal vakaların atlanma riskini minimize etmiştir. Dolaylı olarak proje; • Radyoloji, • Perinatoloji, • Prenatal danışmanlık süreçlerine de katkı sağlamış; doğru ve erken tespit sayesinde hasta bilgilendirme, takip ve yönlendirme aşamalarında klinik iş akışını destekleyen bir yapı sunmuştur. Sonuç olarak proje, kurum içerisinde fetal beyin değerlendirmesi yapılan klinik birimlere yüksek katma değerli, yapay zekâ tabanlı yeni bir karar destek altyapısı kazandırmıştır.
Projenin hayata geçirilmesi konusunda üst yönetimin desteğini tam olarak alabildiniz mi?
Evet, projenin hayata geçirilmesi sürecinde üst yönetim desteği alınmıştır. Proje, klinik gerçeklikten kopmadan ve doğrudan hasta verisiyle çalışmayı gerektirdiği için, kurumsal onay ve yönetsel destek kritik öneme sahipti. Bu kapsamda proje için etik kurul onayı alınmıştır. Klinik arşivlerden elde edilen gerçek ve anonimleştirilmiş ultrason verileri üzerinde çalışma yapılmasına izin verilmiştir. Modelin gerçek klinik veriler üzerinde test edilmesi ve sonuçlarının değerlendirilmesi, kurumsal yönetim tarafından desteklenmiştir. Üst yönetim desteği sayesinde proje yalnızca teorik veya simülasyon tabanlı bir çalışma olmaktan çıkmış, gerçek klinik verilerle test edilmiş ve sonuçları klinik bağlamda değerlendirilebilen uygulamaya dönük bir yapay zekâ hizmeti haline gelmiştir. Bu destek, projenin güvenilirliğini ve klinik uygulanabilirliğini doğrudan artıran önemli bir faktör olmuştur.
Proje sonunda ortaya çıkan sonuçları analiz edebildiniz mi? Rakamsal verilerle ifade eder misiniz?(ROI, maliyetlerde yüzdesel azalma, üretim süresinde azalma, hata payının düşmesi vs.)
Evet, proje sonunda elde edilen sonuçlar nicel (istatistiksel) ve nitel (klinik) açıdan detaylı biçimde analiz edilmiştir. Analizler, yalnızca gerçek klinik görüntülerden oluşan bağımsız bir test seti üzerinde gerçekleştirilmiş; sentetik görüntüler test aşamasına dahil edilmemiştir.
Test Seti Yapısı
- Toplam test görüntüsü: 80
- Normal: 62
- Anormal: 18
Temel Performans Sonuçları
- Genel doğruluk (Accuracy): %98,75
- Duyarlılık (Sensitivity / Recall): %100
- Özgüllük (Specificity): %98,4
- Pozitif Öngörü Değeri (Precision): %94,7
- Negatif Öngörü Değeri (NPV): %100
- F1-Skoru: 0,973
- ROC-AUC: 0,9955
Karışıklık Matrisi (Confusion Matrix)
[[61, 1],
[ 0,18]]
- Yanlış negatif (False Negative): 0
- Yanlış pozitif (False Positive): 1
Bu sonuçlar, modelin hiçbir anormal vakayı kaçırmadığını ve tarama (screening) amaçlı klinik kullanım açısından yüksek güvenilirliğe sahip olduğunu göstermektedir.
Dinamik Eşikleme ve Klinik Önemi
Performans metrikleri, sabit bir karar eşiği yerine dinamik olasılık eşik optimizasyonu kullanılarak hesaplanmıştır. Bu yaklaşım:
- sınıf dengesizliğine bağlı yanlılığı azaltmış,
- yanlış negatif riskini ortadan kaldırmış,
- klinik karar destek sistemleri için daha güvenli bir yapı sunmuştur.
Nitel (Klinik) Analiz
Yanlış sınıflandırılan tek normal vakada, uzman incelemesi sonucunda:
- sınırda ventrikül ölçümleri,
- görüntü kalitesinde hafif bozulma (suboptimal akustik pencere)
tespit edilmiştir. Bu bulgu, fetal nörosonografide bilinen klinik zorluklarla uyumludur ve modelin kararlarının klinik gerçeklikle tutarlı olduğunu göstermektedir.
Sonuç
Elde edilen sonuçlar, geliştirilen yapay zekâ modelinin:
- yüksek doğrulukla çalıştığını,
- anormal vakaları kaçırmadan tespit edebildiğini,
- klinik tarama süreçlerinde güvenilir bir karar destek aracı olarak kullanılabileceğini
açıkça ortaya koymaktadır.
Projenizde şirket içinden kaç kişi aktif olarak görev almıştır? Ekip birimleri hakkında kısaca bilgi verir misiniz?
Projede 3 kişi aktif rol almıştır. Bursa Acıbadem Hastanesi’nde görev yapan hekim ve Küresel Sağlığı Geliştirme ve İnovasyon Derneği (HEAPİDER) bünyesinde yer alan Doç. Dr. Nefise Nazlı Yenigül ile Uludağ Üniversitesi’nde akademisyen olan hekim Doç. Dr. Bilge Çetinkaya Demir, projeye tamamen anonimleştirilmiş klinik ultrasonografi verilerini sağlamış; bu veriler doğrultusunda klinik bağlamın oluşturulmasına ve klinik ihtiyaçların tanımlanmasına katkıda bulunmuştur. Model geliştirme sürecinin ilerleyen aşamalarında, Yapay Zekâ Mühendisi Erdeniz Ünvan tarafından sentetik olarak üretilen anomali görüntülerinin klinik açıdan doğrulanması, tıbbi uygunluğunun değerlendirilmesi ve kontrolü, ilgili hekimler tarafından gerçekleştirilmiştir. Yapay Zekâ Mühendisi Erdeniz Ünvan ise, projenin tamamının teknik geliştirme sürecini tek başına yürütmüştür. Bu kapsamda veri ön işleme, veri görselleştirme, veri analizi, sentetik veri üretimi, model mimarisi tasarımı, cross-validation testleri, eğitim süreçleri, dinamik karar eşiği optimizasyonun yapılması, test ve performans değerlendirmeleri ile sonuç analizlerinin tamamı uluslararası standartlara uygun bir şekilde yapay zeka mühendisi Erdeniz Ünvan tarafından gerçekleştirilmiştir.
Projenizde (varsa)işbirliği kurduğunuz veya destek aldığınız bilişim şirketlerini belirtiniz.
Projemiz; klinik veri sağlayıcısı Bursa Acıbadem Hastanesi’nden hekim desteği ile, Küresel Sağlığı Geliştirme ve İnovasyon Derneği (HEAPİDER) bünyesinde yer alan Doç. Dr. Nefise Nazlı Yenigül, kontrol ve akademik doğrulama sürecinde görev alan Uludağ Üniversitesi’nden Doç. Dr. Bilge Çetinkaya Demir ve tüm yapay zekâ model geliştirme, veri işleme ve değerlendirme süreçlerini tek başına yürüten Yapay Zekâ Mühendisi Erdeniz Ünvan olmak üzere toplam üç kişilik bir ekip tarafından hayata geçirilmiştir. Bu yapı sayesinde proje, herhangi bir dış bilişim firması veya ticari yazılım desteği olmaksızın; klinik uzman doğrulamasıyla desteklenen, özgün, bağımsız ve uçtan uca geliştirilen bir yapay zekâ çalışması olarak gerçekleştirilmiştir.
Proje sırasında kullandığınız ve spesifik önemi olan markaları (varsa) belirtiniz. (Yazılım veya donanım markaları)
Proje kapsamında yapay zekâ modelinin eğitimi ve test süreçlerinde NVIDIA A100 80GB GPU kullanılmıştır. Bu donanım, derin öğrenme modelinin, yüksek çözünürlüklü medikal görüntüler üzerinde eğitilmesi, sentetik veri üretimi, hiperparametre optimizasyonu ve çoklu deney ve karşılaştırmaların verimli şekilde yürütülmesi için tercih edilmiştir. NVIDIA A100 80GB GPU, projenin yüksek hesaplama gereksinimlerini karşılayarak modelin performanslı ve stabil biçimde geliştirilmesine olanak sağlamıştır.
